Top.Mail.Ru

Ученые изучили новый механизм регенерации клеток печени

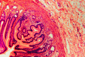
Ученые из Центра регенеративной медицины в Эдинбурге (Шотландия), Массачусетского технологического института (США) и Сколковского института науки и технологий впервые продемонстрировали роль холеангиоцитов — клеток внутрипеченочных желчных протоков в регенерации тканей печени. Полученные результаты полезны для регенеративной медицины и борьбы с заболеваниями печени. Результаты исследования опубликованы в журнале Nature.

Печень один из немногих органов в организме человека, способных к регенерации. В случае повреждении печени в результате травмы или хронического заболевания главные клетки печени — гепатоциты (именно они ответственны за все основные функции печени) способны регенерировать за счет деления неповрежденных гепатоцитов. Стимуляции регенерации печени — проблема остро стоящая перед медициной, однако подробности данного механизма и то участвуют ли другие типы печеночных клеток в процессе образования новых гепатоцитов до сих пор были не ясны.

Международная группа ученых использовали мышей в качестве модельного объекта, на них удалось сымитировать повреждения печени характерные для человека. Эксперимент проводился на двух независимых моделях, где специально была снижена способность гепатоцитов к делению, чтобы оценить вклад других клеток печени в регенерацию. В результате данной работы было показано, что эпителиальные клетки желчных протоков — холеангиоциты участвуют в регенерации гепатоцитов. Также ученые предполагают, что потенциал к регенерации у гепатоцитов, полученных из холангиоцитов, может быть выше, чем у обычных гепатоцитов.

Юрий Котелевцев, профессор Сколтеха, замдиректора Центра Трансляционной Биомедицины (бывший Центр Функциомальной геномики) Сколтеха: «Чуть больше года назад я встречался с моими коллегами по Эдинбургскому университету с целью создания совместных научных проектов. Рассказывал о том, как нам в Сколтехе, в центре Функциональной геномики под руководством профессора Виктора Котелянского удалось наладить технологию нокдауна генов печени. Эта технология хорошо известна уже около 7 лет, однако применение ее, in vivo, требует высокого экспериментального уровня и пока доступна в немногих академических лабораториях. Оказалось, что лаборатория профессора Стюарта Форбса работает над проблемой, в решении которой именно нокдаун может быстро и однозначно подтвердить гипотез ключевой роли холеангиоцитов в регенерации печени. Вклад Сколтеха совместно с MIT заключается в том, что мы создали и предоставили для эксперимета липидные наночастицы с siRNA к бета 1 интегрину, которые заблокировали экспрессию этого гена в гепатоцитах у мышей, а последующие наблюдения, над фенотипом полученной модели позволили идентифицировать холеангиоциты, как клетки, участвующие в регенерации печени. В настоящее время в Шотландском центре регенеративной медицины под руководством порфессора С. Форбса начинаются работы направленные на выделение и трансплантацию аутологичных холеангиоцитов пациентам с циррозом печени. Мы сейчас продолжаем коллаборацию с лаб. проф Форбса и занимаемся проверкой новых генов мишеней, блокирование которых может предотвращать или стабилизировать процессы связанные с фиброзом и последующим циррозом печени.»

Дмитрий Московских, директор НИЦ «Конструкционные керамические наноматериалы» стоит в лаборатории около оборудованияДмитрий Московских, директор НИЦ «Конструкционные керамические наноматериалы» стоит в лаборатории около оборудования
Второе заседание экспертного совета по устойчивому развитиюВторое заседание экспертного совета по устойчивому развитию
Очный этап регионального трека Международного конкурса научно-технологических проектов «Большие вызовы»Очный этап регионального трека Международного конкурса научно-технологических проектов «Большие вызовы»